Hình ảnh sùi mào gà ở nam và nữ giới qua các giai đoạn cụ thể
Bệnh sùi mào gà không những tác động trực tiếp đến sức khỏe mà còn gây ra nhiều ảnh hưởng đối với cuộc sống hàng ngày của người bệnh. Vậy bệnh sùi mào gà là gì? Nguyên nhân nào gây ra, các hình ảnh sùi mào gà ở cả nam và nữ được nhận biết như thế nào? Dấu hiệu – triệu chứng, ảnh hưởng và cách điều trị mang lại hiệu quả tốt nhất là gì? Mọi người hãy cùng tham khảo qua nội dung bài viết dưới đây với những hình ảnh bệnh sùi mào gà ở nam nữ giới tại vùng kín, miệng, hậu môn…qua từng giai đoạn cụ thể.
Bác sĩ chuyên khoa bệnh xã hội tại Phòng khám Đa khoa Quốc tế Cần Thơ cho biết: sùi mào gà là một trong những căn bệnh lây truyền qua đường tình dục rất phổ biến, gây ra bởi virus HPV. Có ít nhất 35 type HPV gây bệnh ở vùng sinh dục, type 6 và 11 chiếm 90%. Đặc biệt có 2 type HPV liên quan đến bệnh ung thư như ung thư cổ tử cung ở nữ giới, ung thư dương vật ở nam giới, ung thư hậu môn, ung thư vòm họng… đó là type 16 và 18.

Chạm vào để xem ảnh
Virus HPV chính là nguyên nhân gây ra bệnh sùi mào gà ở cả nam và nữ giới. Theo thống kê, có rất nhiều chủng HPV khác nhau và gây ra các ảnh hưởng đến bộ phận sinh dục của người bệnh. Trong đó, virus HPV 6 và HPV 11 là chủng virus được tìm thấy chiếm 90% trong các trường hợp lây bệnh sùi mào gà. Virus HCV lây lan thông qua những con đường sau:
Do quan hệ tình dục không an toàn
Đây là nguyên nhân chính gây ra bệnh sùi mào gà, bệnh lây qua việc giao hợp nam và nữ, hoặc quan hệ bằng miệng, quan hệ qua hậu môn cũng là nguyên nhân lây nhiễm bệnh.
Có nhiều người cho rằng bệnh sùi mào gà không lây qua quan hệ bằng miệng, nhưng thực tế virus HPV có thể xuất hiện ở cả cơ quan sinh dục, máu, tuyến nước bọt, và các dịch nhầy của người bệnh. Cho nên, một số người dùng miệng để kích thích cơ quan sinh dục của người bệnh cũng có nguy cơ lây nhiễm như nhau.
Lây truyền từ mẹ sang con
Nếu người mẹ bị nhiễm virus HPV trong thời kỳ mang thai, virus có thể trực tiếp lan truyền sang thai nhi qua các con đường cuống rốn, nước ối hoặc khi tiếp xúc với cơ quan sinh dục của mẹ lúc sinh thường. Và tiếp xúc với các mụn sùi chứa HPV tồn tại trong cổ tử cung của mẹ nên mắc bệnh. 
Lây truyền khi sử dụng đồ chung
Việc sử dụng các vật dụng chung cá nhân hoặc có các tiếp xúc gián tiếp như ôm, hôn, dùng chung đồ cá nhân như : Bàn chải đánh răng, khăn tắm, quần lót, quần áo,..vô tình chạm phải các chất chứa dịch nhầy, máu, mủ của bệnh nhân mang chủng virus HPV. Hoặc vô tình cọ chúng vùng da hở của mình vào dịch này cũng làm lây nhiễm bệnh sùi mào gà và trường hợp này chỉ chiếm tỷ lệ nhỏ trong số các ca lây nhiễm sùi mào gà.
Những người có tình trạng sức đề kháng kém
Hệ miễn dịch của con người rất quan trọng, nhờ có hệ miễn dịch hoàn toàn có thể tiêu diệt và ức chế virus HPV, như vậy nếu một người có hệ miễn dịch khỏe mạnh sẽ có tình trạng phát bệnh lâu hơn hoặc tự đào thải virus, và người có sức đề kháng yêu sẽ có thời gian ủ bệnh ngắn hơn dễ tái phát bệnh nhanh hơn.
Khi virus xuất hiện trong cơ thể, thời gian ủ bệnh sẽ kéo dài từ 2 – 9 tháng và biểu hiện của sùi mào gà ở nam giới và nữ giới sẽ có sự khác nhau. Bệnh sùi mào gà ở nam giới có biểu hiện rõ rệt hơn, ở nữ giới khi bệnh có biểu hiện nặng hơn mới thể hiện rõ, cụ thể như:
Triệu chứng sùi mào gà ở nam giới
– Ở giai đoạn đầu: Trong giai đoạn đầu tại bộ phận sinh dục và các vùng da lân cận như: Bao quy đầu, thân dương vật, rãnh quy đầu, các nếp gấp bẹn, vùng bìu, lỗ sáo,… Ngoài ra các mụn sùi còn tập trung quanh niêm mạc miệng của bệnh nhân nếu như nó lây truyền qua quan hệ bằng miệng. Bắt đầu xuất hiện các nốt sùi mềm, màu hồng nhạt, mọc đơn lẻ, bề mặt các nốt sùi này ẩm ướt. Các nốt sùi thường không mai những dấu hiệu ngứa ngáy hay khó chịu gì, vì vậy rất khó để phát hiện ra bệnh sùi mào gà ở giai đoạn này.

– Ở giai đoạn sau: Các mụn sùi phát triển và tập trung thành các mảng có hình thức giống với mào gà hoặc súp lơ, khi chạm vào có cảm giác mềm và hơi ẩm ướt, nếu ấn mạnh sẽ bị chảy dịch ra ngoài, dịch bốc mùi hôi tanh khó chịu.
Dấu hiệu bệnh sùi mào gà ở nữ giới
Bệnh sùi mào gà phát triển thầm lặng không rõ triệu chứng hay biểu hiện rõ ràng, chỉ đến khi rõ triệu chứng đi khám thì đã phát hiện tới giai đoạn nặng. Thông thường sau khoảng 3 tuần khi quan hệ tình dục với người nhiễm HPV vùng kín của nữ giới sẽ xuất hiện các nốt sùi có màu hồng nhạt, mọc nhỏ lẻ không gây ra các triệu chứng rõ ràng cho bệnh nhân.
– Sùi mào gà ở nữ giới thường tập trung chủ yếu ở khu vực âm hộ, xung quanh hậu môn, hai môi lớn và môi bé, cổ tử cung,..,
– Ngoài ra ở nữ giới còn kèm theo những dấu hiệu khác như: mệt mỏi, chán ăn, sụt cân, suy giảm ham muốn tình dục,…
– Cũng giống với bệnh sùi mào gà nam giới, sùi mào gà ở nữ giới còn xuất hiện ở miệng, mắt, họng, lưỡi,..
Hình ảnh sùi mào gà ở nam nữ giới, ở hậu môn hay vùng kín là những vị trí phổ biến và người mắc bệnh có khả năng phát hiện được các biểu hiện của bệnh như: xuất hiện những nốt sần nhỏ nổi li ti ở các vị trí như vùng kín, hậu môn, khoang miệng… Tuy vậy, không ít người bệnh đã bỏ qua các dấu hiệu – triệu chứng bất thường này bởi ban đầu nó khá giống với các nốt mụn, nhiệt miệng hoặc viêm nhiễm thông thường…
Dưới đây là một số hình ảnh sùi mào gà ở nam, nữ giới, ở miệng, vùng kín, hậu môn… mời các bạn cùng tham khảo để có thêm kiến thức giúp dễ dàng nhận biết bệnh sùi mào gà.

Chạm vào để xem ảnh
Các nốt sùi mào gà giai đoạn sớm có khả năng hình thành ở mắt nếu như vi khuẩn HPV tấn công tại khu vực này.

Chạm vào để xem ảnh
Quan hệ tình dục qua hậu môn, quan hệ đồng giới là nguyên nhân hàng đầu khiến nhiều người bị nổi mụn sùi mào gà ở hậu môn.

Chạm vào để xem ảnh

Chạm vào để xem ảnh
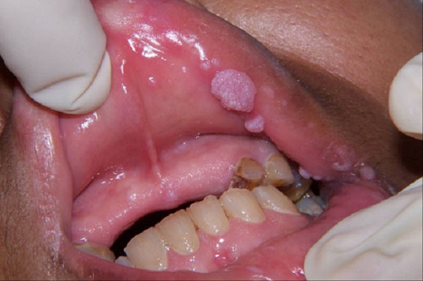
Hình ảnh sùi mào gà ở miệng

Chạm vào để xem ảnh

Chạm vào để xem ảnh
Hình ảnh sùi mào gà ở lưỡi

Chạm vào để xem ảnh

Chạm vào để xem ảnh
Hình ảnh sùi mào gà ở âm đạo, vùng kín nữ giới

Chạm vào để xem ảnh

Chạm vào để xem ảnh
Hình ảnh sùi mào gà vùng kín nam giới

Chạm vào để xem ảnh
Bệnh sùi mào gà gây ra nhiều biến chứng tác hại trực tiếp với người bệnh. Trong đó, có những tổn hại về sức khỏe, thể chất và cả tinh thần của người bệnh như:
– Bệnh sùi mào gà và những biểu hiện của bệnh ảnh hưởng đến bản thân người bệnh rất nhiều, người bệnh sẽ cảm thấy tự ti, mệt mỏi, chán ăn và bị căng thẳng kéo dài, thậm chí có thể dẫn đến trầm cảm.
– Gây ảnh hưởng đến việc quan hệ tình dục gặp nhiều trục trặc và khó khăn không mang lại nhiều khoái cảm cho bạn tình.
– Những tổn thương do sùi mào gà có thể làm tăng nguy cơ lây lan các bệnh xã hội như bệnh lậu, bệnh giang mai, HIV,..

– Bệnh sùi mào gà để lâu sẽ dẫn tới viêm nhiễm những cơ quan sinh dục, khiến cho chức năng các cơ quan sinh dục bị viêm nhiễm suy giảm dần. Dẫn đến vô sinh, hiếm muộn.
– Bệnh nhân có nguy cơ mắc các bệnh ung thư dương vật ( ở nam giới), ung thư cổ tử cung, ảnh hưởng đến sức khỏe sinh sản ( ở nữ giới), nặng hơn có thể nguy hiểm đến tính mạng.
– Nhiễm bệnh trong quá trình mang thai người mẹ có nguy cơ bị sảy thai, thai bị chết lưu và sinh non.
– Nếu không được điều trị kịp thời, và tiếp tục quan hệ tình dục bệnh nhân có thể lây nhiễm cho bạn tình, và lây nhiễm cho những người xung quanh qua vết thương hở.
Ngày nay, với sự phát triển của y học hiện đại, người bị mắc bệnh sùi mào gà không còn phải chữa trị bằng những phương pháp dân gian chưa được kiểm chứng. Thay vào đó, bạn có thể lựa chọn cách chữa bệnh hiệu quả bằng các phương pháp theo y học hiện đại như:
Thuốc chữa sùi mào gà
Các loại thuốc chữa bệnh sùi mào gà chủ yếu là thuốc bôi trực tiếp ngoài da, sau đây là một số cách sử dụng và công dụng của thuốc chữa bệnh sùi mào gà.

Công dụng: Trong thuốc bôi có các thành phần giúp phá huỷ mô tế bào của sùi mào gà trên bề mặt da hoặc bệnh trong bộ phận sinh dục. Đồng thời làm tăng cường hệ miễn dịch giúp cơ thể loại bỏ virus HPV. Giúp ngăn chặn mụn sùi tái phát và tái tạo vùng da bị tổn thương.
Cách sử dụng: Bôi trực tiếp lên da bị bệnh (lưu ý: Không bôi vùng da lành tính). Bác sĩ sẽ đưa ra chỉ định loại thuốc phù hợp tuỳ vào mức độ nốt sùi to hay nhỏ.
Tác dụng phụ: Có nhiều loại thuốc mang lại tác dụng phụ như: Gây kích ứng da, sưng hoặc đau những vùng da xung quanh, phát ban, cơ thể mệt mỏi,..Ngoài ra, thuốc còn làm giảm chất lượng của bao cao su cho nên trong quá trình dùng thuốc không nên quan hệ tình dục.
Lưu ý: Hầu hết tất cả các loại thuốc bôi không dùng cho vùng da nhạy cảm, và thuốc không tuỳ tiện dùng cho phụ nữ mang thai. Do đó, bệnh nhân không được tự ý mua thuốc về sử dụng mà chưa qua chỉ định của bác sĩ.
Điều trị sùi mào gà hiệu quả với công nghệ ALA – PDT tiên tiến
Sử dụng công nghệ ALA – PDT để điều trị bệnh sùi mào gà bằng việc tác động qua lại của ánh sáng oxy và chất cản quang để tiêu diệt sùi mào gà. Liệu pháp này đã giúp khắc phục những nhược điểm và hạn chế của phương pháp truyền thống.

Cơ chế hoạt động của công nghệ ALA –PDT
– Giúp loại bỏ tức thì: Với việc sử dụng các thiết bị chuyên dụng như máy đốt điện để loại bỏ nhanh các tổn thương dạng mụn thịt mọc trên bề mặt như vùng sinh dục, hậu môn,..Ngoài ra, kỹ thuật này còn giúp loại bỏ những mụn sùi gà với mọi kích thước khác nhau. Giúp loại bỏ các tổn thương nhanh chóng hiệu quả không gây ảnh hưởng đến các vị trí xung quanh.
– Gây ức chế virus: Phương pháp ALA – PDT trong điều trị sùi mào gà giúp trao đổi gen, DNA của virus HPV. Từ đó ngăn chặn sự phát triển của virus và ngăn chặn sùi mào gà tái phát trở lại.
– Giúp phục hồi trừ bên trong: ALA – PDT giúp cơ thể sản sinh ra hệ thống miễn dịch, kích thước cơ thể sản sinh collagen ở tế bào niêm mạc sau điều trị.
Ưu điểm của phương pháp ALA – PDT
– Mang lại hiệu quả cao: Phương pháp ALA – PDT cho hiệu quả vượt trội chỉ sau 8 tiếng và giúp các nốt sùi biến mất nhanh chóng chỉ sau 3 ngày. Có thể thấy đây là điều chưa có phương pháp điều trị nào đạt được.
– Thời gian điều trị nhanh chóng: Đối với phương pháp ALA – PDT điều trị tối thiểu chỉ với 3 liệu trình là mụn có thể biến mất, bệnh nhân không phải tiến hành điều trị nhiều lần như các liệu trình khác.
– Độ an toàn: ALA – PDT giúp định vị xác định chính xác tế bào tổn thương nên không gây ảnh hưởng tới các tế bào lân cận. Không gây đau và chảy máu giúp phục hồi nhanh chóng.
– Đảm bảo thẩm mỹ: Đối với các phương pháp điều trị sùi mào gà thông thường hay để lại sẹo gây ra những tổn thương lớn cho da, thì đối với phương pháp ALA – PDT hiện đại không để lại bất cứ vết sẹo nào.
– Không phải nằm viện: Sau khi điều trị xong bệnh nhân có thể về nhà ngày, giúp tiết kiệm thời gian, tiền bạc cho người bệnh.

Hiện nay, tại Phòng khám Đa khoa Quốc tế Cần Thơ được đánh giá cao là một trong những địa chỉ chữa sùi mào gà thành công cho rất nhiều bệnh nhân bằng phương pháp ALA – PDT. Sở hữu cơ sở vật chất hiện đại, cách chữa trị tiên tiến, đội ngũ bác sĩ chuyên khoa giỏi luôn mang lại kết quả điều trị tốt cho bệnh nhân khi đến phòng khám.
Hiện tại, Phòng khám Đa khoa Quốc tế Cần Thơ đang có chương trình ưu đãi hỗ trợ bệnh nhân mắc sùi mào gà: Giảm 30% chi phí trị liệu/30% chi phí tiểu phẫu điều trị bệnh sùi mào gà khi đặt lịch khám qua số điện thoại/zalo 0939.552.115 hoặc click ảnh dưới đây để được các bác sĩ phòng khám tư vấn chi tiết và cấp mã ưu đãi.
Bài viết trên đây đã cung cấp đầy đủ những thông tin về bệnh sùi mào gà là gì, nguyên nhân, dấu hiệu và triệu chứng qua 16 hình ảnh ở nam nữ giới tại vị trí vùng kín, miệng, hậu môn… cùng các biến chứng và cách điều trị bệnh hiệu quả . Hy vọng có thể giúp bạn đọc có thêm kiến thức để bảo vệ sức khỏe của bản thân mình. Nếu bạn đang có vấn đề cần được giải đáp, hãy liên hệ với đến tổng đài tư vấn bệnh xã hội 0939.552.115 hoặc khung chat trực tuyến Tại đây để được các chuyên gia tư vấn hỗ trợ miễn phí.
                
                








